Gắp thành công chiếc kim băng trong thực quản cho bé gái 4 tuổi
(PLVN) -Ngày 15/3, các Bác sĩ Khoa Khám bệnh, Bệnh viện Sản Nhi Quảng Ninh vừa nội soi gắp thành công chiếc kim băng trong thực quản cho bé Vũ Thu N.(04 tuổi), thường trú tại Cẩm Phả tỉnh Quảng Ninh.
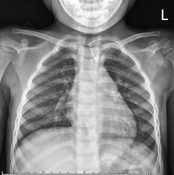
Kết quả khám lâm sàng cho thấy hình ảnh dị vật là một chiếc kim băng đang mở, một đầu nhọn đang cắm vào thành thực quản của trẻ.
Qua nội soi thực quản Kíp phẫu thuật tiến hành dùng kìm đẩy đầu nhọn của kim thoát khỏi thành thực quản, sau đó kẹp lấy đầu nhọn của dị vật rồi kéo ra ngoài.
Qua nội soi thực quản, các Bác sĩ quan sát thấy chiếc kim băng trong thực quản của trẻ, xác định được nguyên nhân, kíp phẫu thuật tiến hành dùng kìm đẩy đầu nhọn của kim thoát khỏi thành thực quản, sau đó kẹp lấy đầu nhọn của dị vật rồi kéo ra ngoài cho trẻ.
Hiện sau gắp dị vật trẻ đã thở dễ, sinh hoạt ăn uống không còn trở ngại và sẽ được cho xuất viện trong nay mai.
Bác sĩ Phạm Đăng Hùng cho biết: trường hợp của né N.(04 tuổi) thật may mắn khi kim loại nhỏ, bác sĩ đẩy đầu nhọn ra khỏi thành thực quản, sau đó túm lấy cái đầu nhọn ấy để nó không gây tổn thương thêm cho thực quản. Tránh cho bé một ca phẫu thuật nguy hiểm.
Bác sĩ khuyến cáo các bậc phụ huynh cần tránh cho bé chơi các đồ chơi có kích thước quá nhỏ dễ ngậm và sặc vào đường thở, cũng như tránh cho trẻ ăn những thức ăn dễ bị hóc như: đậu phộng, hạt dưa, hạt hướng dương…
Đối với trẻ có xảy ra hội chứng xâm nhập, đột ngột ho sặc, hóc thức ăn, đồ chơi…, khò khè kéo dài sau đó, các bậc phụ huynh cần lưu ý đưa trẻ đến khám tại các bệnh viện uy tín, có chuyên khoa sâu và nội soi về hô hấp nhi để phát hiện và xử trí kịp thời.


