Cứu sống bệnh nhân mắc u màng não khổng lồ
(PLVN) - Ngày 12/6, BS.CK2. Phạm Thanh Phong – Phó Giám đốc phụ trách chuyên môn Bệnh viện Đa khoa Trung ương Cần Thơ (BV ĐKTW CT) cho biết các bác sĩ Khoa Ngoại Thần kinh của bệnh viện vừa can thiệp nội mạch kết hợp phẫu thuật thành công cứu sống bệnh nhân bị u não to bằng quả trứng.
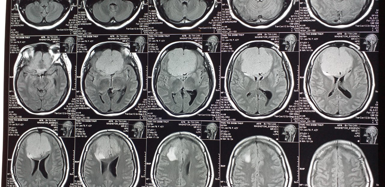
Bệnh nhân T.T.D.T (42 tuổi, ngụ quận Ô Môn, TP Cần Thơ) bị đau đầu khoảng 3 tháng, uống thuốc không giảm. Cách đây 2 tháng, mắt tiếp tục bị mờ và được chuyển đến BV ĐKTW CT cấp cứu. Có lúc bệnh nhân bị đau đầu nhiều, thị lực giảm, mất mùi hoàn toàn.
Các bác sĩ tiến hành khám lâm sàng kết hợp cận lâm sàng kiểm tra. Kết quả kết luận u màng não khổng lồ. Các bác sĩ tiến hành hội chẩn quyết định chụp và nút mạch tiền phẫu số xóa nền nhằm mục tiêu tắc mạch máu nuôi khối u.
Các bác sĩ đã bóc tách, lấy sạch khối u ra khỏi sàn sọ, gửi mẫu bệnh phẩm sinh thiết tế bào. Đến ngày 12/6, bệnh nhân tỉnh, tiếp xúc được, không yếu liệt chi, mắt nhìn rõ, vết mổ khô, giảm đau đầu nhiều.
Theo Bs.CK2. Chương Chấn Phước – Trưởng Khoa Ngoại Thần kinh (BV ĐKTW CT), u màng não chiếm tỷ lệ khoảng 34% các khối u nguyên phát ở não, thường xảy ra ở lứa tuổi từ 30-70. U màng não chủ yếu là các khối u lành tính.
Tuy nhiên với các khối u màng não kích thước lớn, người bệnh cần được phẫu thuật lấy u càng sớm càng tốt vì nếu khối u phát triển ngày càng lớn sẽ gây chèn ép, tùy vào vị trí u mà gây nên các triệu chứng lâm sàng như: đau đầu, buồn nôn và nôn, mờ mắt, yếu hay liệt nửa người, co giật, rối loạn cảm giác và nặng hơn có thể khiến suy giảm ý thức, hôn mê thậm chí tử vong.


